Korrigieren Sie Ihre Zähne - nicht Ihre Persönlichkeit
Smile Design vs. detaillierte Gesichtsanalyse - patientenorientierte Diagnostik
Wir alle haben viele Ideen, wie etwas auszusehen hat. Erst die gründliche Gesichtsanalyse zeigt aber, auf welche dieser Ideen es wirklich ankommt.
Planung - die Dentale Persönlichkeit© kreativ und strukturiert gestalten
Wir arbeiten mit dem selbst entwickelten Dentale Persönlichkeit©-Leitfaden, in dem die Aufgaben für Praxis und Labor klar zugeordnet sind. So bieten wir dem Patienten eine Grundlage, auf der er, so könnte man sagen, seine Restauration selbst gestaltet – mit unserer Hilfe.
Kommunikation und Emotion - die Patientenanalyse soll Vergnügen bereiten
Patientenanalyse klingt nach Daten und Zahlen – dabei geht es aber vor allem um Gefühle. Nur wenn Patienten offen über ihre Wünsche sprechen, kommen wir zu einem gemeinsamen Ansatz, der auch Freude macht.
Der vorhersagbare COMFOUR® Team Approach
Marias NEW Story über eine step by step COMFOUR® Behandlung inklusive 4 Tutorials beginnend vom physischen Stress und sozialer Beeinträchtigung der Patientin bis zu einer glücklichen Person.
Das Personalized Tissue Support Concept by Dedicam®
Arians NEW Story > Ein Patient mit hohen Erwartungen für eine ästhetische Versorgung nach Frontzahntrauma mit Wurzelspitzenresektion und persistenter Fistula. Sehen Sie 3 Tutorials über die sensibelste Zone in der modernen Implantologie.
Nobel Biocare Zirkonoxid Zahnimplantat für Einzelzahnersatz
Dieses metallfreie Konzept ersetzt Titan als Material für die Abutmentschraube zugunsten einer kohlefaserverstärkten Schraube, die eine hohe Widerstandsfähigkeit und Stabilität aufweist und die Plaqueaffinität reduziert.
Behandlung von Nichtanlagen mit Zirkondioxidbrücken und Keramikveneers
Dieser Patientenfall beschreibt die Behandlung von Anodontie mittels Zirkonbrücken, die die verringerte vertikale Dimension der Okklusion ausglichen und damit Ästhetik und Funktion wiederherstellten.
Keramikimplantate aus Zirkonoxid für die Hypodontie-Behandlung
Dieser Patientenfall zeigt ein innovatives Konzepts zur Bewertung eines neu entwickelten vollkeramischen ZrO2 Monotyp Implantatdesigns. Erfahren Sie mehr über das Monotype 3,3 mm Keramikimplantat.
Münchner Schienenkonzept: Okklusionsschienen mittels CAD/CAM (Digitale Zahnmedizin)
Ein innovatives CAD/CAM-Verfahren zur Beurteilung komplexer prothetischer Fälle mit Okklusionsschienen. Erfahren Sie mehr über den Einsatz gefräster Polycarbonat-Zahnschienen.
Zahnfleischrezession - Behandlung mit Bindegewebstransplantat
Dieser Patientenfall beschreibt eine beeinträchtigte okklusale Vertikaldimension, gingivale Rezessionen, funktionelle Probleme und insuffiziente Restorationen. Ein multidisziplinärer Teamansatz war gefordert.
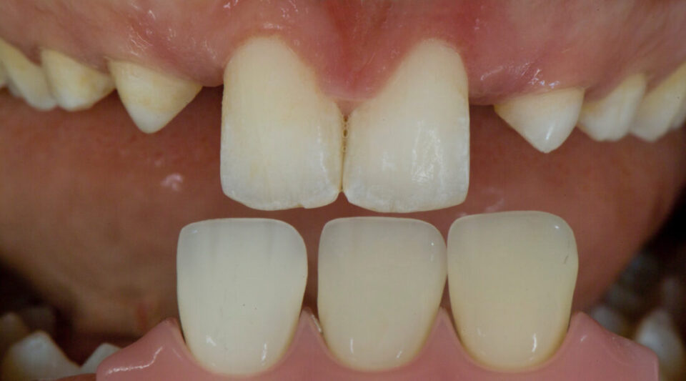
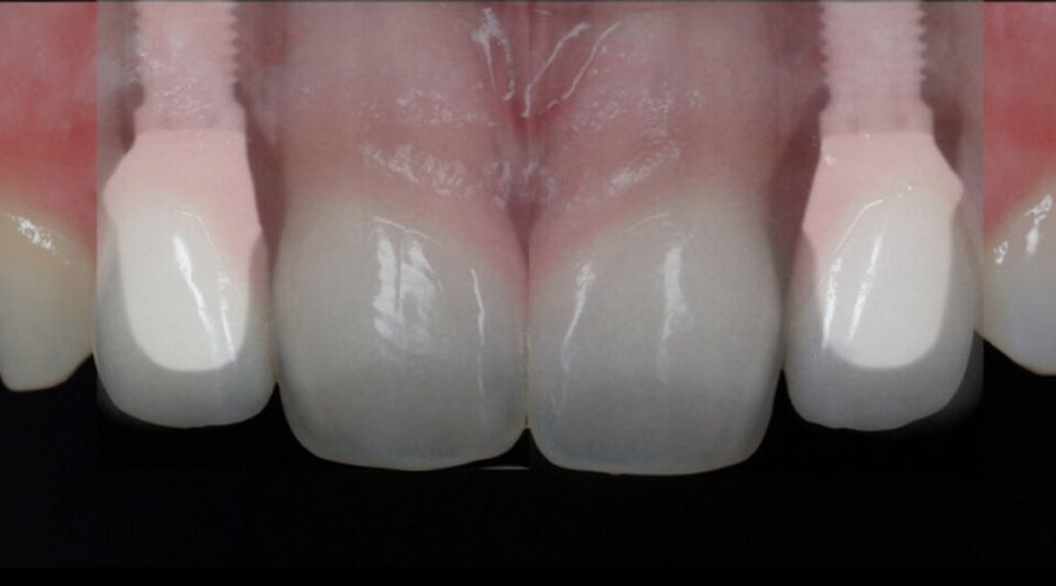
Sofortimplantat Konzept für einen Einzelzahnersatz
Verschaffen Sie sich einen Überblick über ein innovatives Konzept für den Einzelzahnersatz mit einem individuell angefertigten, wurzelanalogen Hybrid-Zahnimplantat in der ästhetischen Zone.
Wurzelanaloges Sofortimplantat - Cad/Cam Implantologie Behandlung
Mit der Sofortimplantation hat sich Verfahren etabliert, um einerseits die periimplantären Gewebestrukturen zu erhalten und andererseits die Anzahl chirurgischer Eingriffe zu reduzieren.
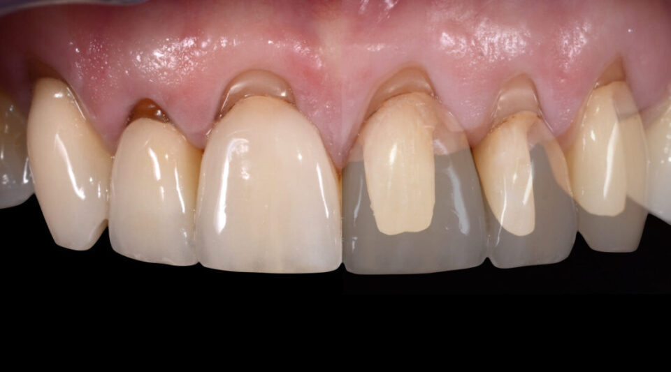
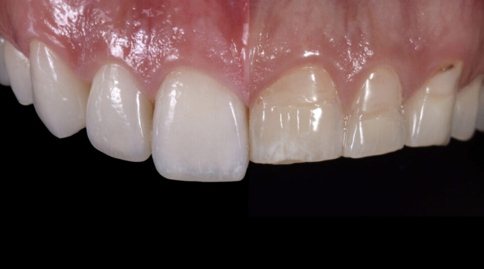
Full-Mouth-Rehabilitation mit Keramikteilkronen bei pathologischem Zahnverschleiß
Sehen Sie die vollständige orale Rekonstruktion das Lächeln unseres Patienten: Von der Analyse des Falls und Behandlungsziels zur Auswahl des Keramikmaterials, Präparationsdesign und Adhäsivkonzepts.
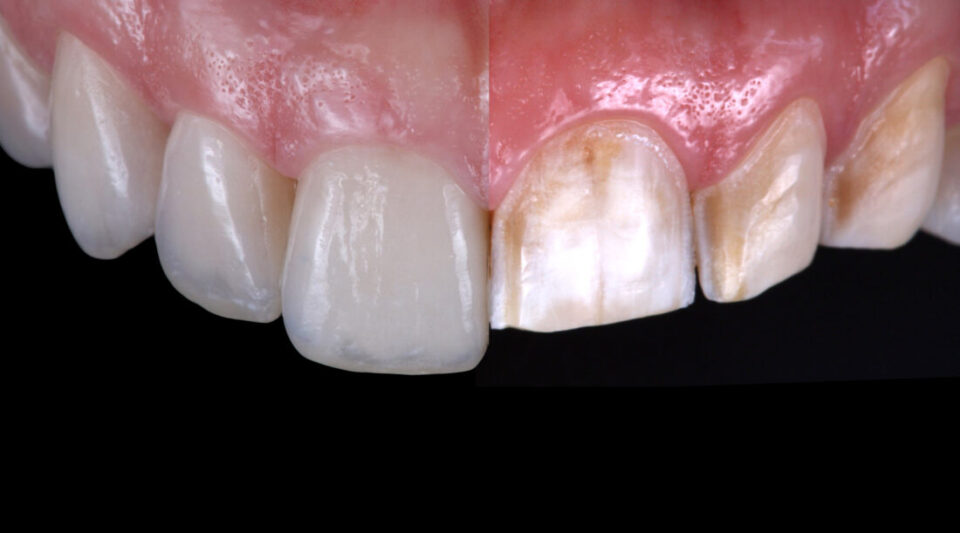
Diastema Behandlung mit keramischen Veneers
Diastema-Verschluss und Korrektur der Frontzähne mit Keramik Veneers ist eine praktikable Option. Erfahren Sie mehr zum Planungsprozess, um die richtige Form und Proportion für den Patienten zu schaffen.
Keramik Veneers und okklusale Onlays bei pathologisch abgenutzten Zähnen
Kathrin klagte über das Erscheinungsbild ihrer Zähne, eine erhöhte Temperaturempfindlichkeit, sowie funktionelle Kiefergelenksprobleme. Sehen Sie sich die Gesamtrehabilitation mit Keramik-Veneers und Kauflächen-Onlays an.
Material selection based on case specifics: Lab & clinician perspectives
Neue Technologien, Produkte und Protokolle entstehen im Rekordtempo. Doch welche Lösungen bringen wirklich verlässliche, beeindruckende und langfristige Ergebnisse?
Lernen Sie, wie Zähne unsere Persönlichkeit widerspiegeln - Neue Termine folgen in Kürze!
Sie erkennen sehr schnell die Persönlichkeit und den Gegenspieler das Ego des Patienten. Erfahren Sie in meinem Intensivseminar wie die Zähne unsere Persönlichkeit wiederspiegeln.
SYLTER DGÄZ SYMPOSIUM FÜR ÄSTHETISCHE ZAHNMEDIZIN
Meine Vorfreude auf das Sylter DGÄZ-Symposium für Ästhetische Zahnmedizin am Christi Himmelfahrts-Wochenende 2024 auf Sylt ist groß
Weitere Kurs-Angebote mit Otto Prandtner: Vertiefende Informationen zur Dentalen Persönlichkeit
Ob als Gruppe oder in Einzelschulungen, hier biete ich noch mehr Möglichkeiten zur Einführung in meine Analysekonzepte
IFG Online Seminar - Interdisziplinäre Zusammenarbeit leicht gemacht
Sie erhalten 12 Module von der Einzelzahnrestauration bis zur komplexen Rehabilitation. Präsentiert von Prof. Daniel Edelhoff und ZTM Otto Prandtner.
Feedback zu "Die Quintessenz der Dentalen Persönlichkeit©" am 15.Februar.
Mich würde interessieren, ob die Philosophie der Dentalen Persönlichkeit bei Ihnen gut angekommen ist. Und vielleicht wollen auch Sie prüfen, welche Wirkung das Konzept auf Sie hat. Dann füllen Sie doch kurz den folgenden Fragebogen aus (es dauert nur wenige Minuten). Auf diese Weise bleiben wir miteinander im Gespräch.
Dentale Persönlichkeit erkennen und bewahren zu können - Fragebogen
Bitte betrachten Sie diesen Fragebogen als eine neutrale Hilfestellung zur Ermittlung der dentalen Persönlichkeit, die zeigen soll, wie Zähne unsere Persönlichkeit widerspiegeln.
-coming soon- Umfrage Kieferorthopädie
An dieser Stelle möchte ich Kieferorthopäden anbieten, anhand einiger Fragen zu prüfen, inwieweit das Konzept der Dentalen Persönlichkeit gängige Vorgehensweisen positiv verändern könnte. Vielleicht finden Sie hier Möglichkeiten, klassische Strukturen hinter sich zu lassen und Ihre Kreativität ganz neu zu entdecken?
The rehabilitation of the worn dentition with glass-ceramic restorations
Tooth wear is perceived internationally as an ever-increasing problem. Complex rehabilitation, Diagnostic wax-up, Munich splint concept, glass-ceramic, preparation technique, full veneers, occlusal onlays.
Das Münchner Schienen-Konzept zur Evaluierung der Okklusionsebene, Funktion und Ästhetik
Zur Veröffentlichung von CAD/CAM-Schienen zur funktionellen und ästhetischen Analyse neu definierter Bisslagen als Wegbereiter zur dentalen Persönlichkeit.
DMD System® IGNIDENT® Wegbereiter zur Dentalen Persönlichkeit
Digitale Kieferrelationsbestimmung zur Bewertung der physiognomischen Unterkieferposition in Bezug auf eine neue Vertikaldimension der Okklusion mittels CAD/CAM-gefertigter zahnfarbener Schienen.
Congratulations from JERD - your articles are among the top downloaded!
Your work with JERD generated immediate impact and visibility, contributing significantly to the advancement of your field.
Befestigungsempfehlung - stellen Sie sicher, dass Sie die wesentlichen Laborinformationen an die Zahnarztpraxis schicken
Dank des Befestigungsleitfadens steht Ihnen ein Formular zur Verfügung, welches darauf abzielt, die Kommunikation im Team zu erleichtern und dafür zu sorgen, dass die in der Praxis benötigten Informationen in standardisierter Form ankommen.
Das Bestellformular für eine strukturierte Kommunikation zwischen Zahnarztpraxis und Dentallabor
Zahnärzte und Zahntechniker haben das gleiche Ziel, es gleich beim ersten Mal richtig zu machen. Neue Checklisten helfen, die Kommunikation zu standardisieren und die Behandlungsqualität zu optimieren.
Dentale Identität-Wo das Lächeln seinen Ursprung findet
Ist es möglich einen Menschen zu lesen, ihn zu verstehen, ohne auch nur ein Wort mit ihm zu sprechen?
Mock-up als Grundlage eines patientenorientierten Behandlungskonzepts
Das individuelle Wax-up als Grundlage eines patientenorientierten Behandlungskonzepts bei Abrasionsgebissen.
(Le-Fort) Interdisciplinary full-mouth rehabilitation for redefining esthetics and function
Read about a patient-oriented interdisciplinary craniomaxillofacial surgical and prosthetic treatment with noninvasive tooth-colored splints, a Le Fort I osteotomy, and a full-mouth rehabilitation.
Systematic Development of Esthetics and Function in a Young Patient with Maxillary Dental Aplasia
Read about a minimally/non-invasive maxillary full arch rehabilitation of an agenesis patient with multiple dental aplasia, primary tooth persistence, and deficits in bone growth.
The Lab Order Form for Dentists - Success Simplified
This very useful tool was developed to improve the communication between the dental practice and the dental lab.
Amelogenesis Imperfecta - Full-Mouth Rehabilitation with Porcelain Veneers
Rehabilitation of a patient with amelogenesis imperfecta using porcelain veneers and CAD/CAM polymer restorations.
The Success Simplified Cementation Guide
This document can be used by the dental technician to provide crucial information to the practice team together with a dental restoration.
Minimalinvasive Rehabilitation bei Amelogenesis imperfecta mittels keramischer Veneers
Minimalinvasive Rehabilitation bei Amelogenesis imperfecta mittels keramischer Veneers und CAD/CAM-gefertigter Kompositrestaurationen.
Optionen zur Minderung von Komplikationen bei Keramikkronen
Minderung von Komplikationen durch die Kombination der Lithium-Disilikat-Sintertechnik auf Zirkonoxid-Gerüsten.
Zahnfarbene CAD/CAM-gefertigte Schienen zur Evaluation der vertikalen Okklusionsdimension – Münchener Schienenkonzept
Zahnfarbene Okklusionsschienen aus Polycarbonat können aufgrund ihrer Flexibilität ohne erhöhte Frakturgefahr auch in sehr geringen Schichtstärken hergestellt werden.
Historical development of root analogue implants: a review of published papers
Root analogue zirconia implants are becoming a good option in implantology because they favour aesthetics even in the presence of a thin buccal wall or gingival biotype, are resistant to corrosion, are hypoallergenic, and are bioinert.
Possibilities and limitations of metal-free implant-supported single-tooth restorations
In many areas of restorative dentistry, metal-free materials offer an alternative to metal-based restorations while ensuring high levels of biocompatibility and esthetics. Rapidly evolving CAD/ CAM technology has significantly expanded the range of materials available.
Veneers and onlays for loss of tooth structure with impaired aesthetics and function
Massiver Zahnhartsubstanzverlust führt oft zu funktionellen Problemen, mit Hypersensibilitäten, verbundenen Zahnschmerzen und einer beeinträchtigten Ästhetik.
Minimally Invasive Treatment of an Ankylosed Tooth with a Ceramic Veneer
The present case report demonstrated a minimally invasive restoration technique in a patient with an ankylosed and intruded maxillary central incisor after an anterior tooth trauma.
Anterior tooth restorations: The performance of ceramic veneers
The establishment of the adhesive techniques in combination with tooth-coloured restorative materials is among the greatest achievements in restorative dentistry.
Soft Tissue Regeneration in the Est
This case report presents a complete prosthetic rehabilitation combined with a periodontal surgical approach for a patient with gingival recessions and functional/esthetic related problems.
Innovative Single Tooth Replacement with the Replicate Root Implant - Case Report
Read more about the innovative single-tooth replacement with an individual root-analog hybrid implant in the esthetic zone.
Preparation of occlusal onlays with Prof. Edelhoff and Dr. Ahlers
Occlusion onlays as a modern treatment concept for the reconstruction of heavily substance-damaged occlusal surfaces.
Option to Prevent Ceramic Chipping of Veneers
by combining lithium disilicate sintering technique on zirconia frameworks.
3D Printing of Dental Structures
A general description of the workflow by creating dental restorations with natural appearance and biomechanics.
Digitally Produced Dentin Cores for Multilayer Anterior Restorations
Automated production of multilayer anterior restoration with digitally produced dentin cores.
Innovationspreis Zahntechnik 2026 – Auszeichnung durch die DGÄZ
Ausgezeichnet für Innovation in der Zahntechnik: Die DGÄZ verleiht mir 2026 den Innovationspreis Zahntechnik – ein großer Dank gilt Prof. Dr. Daniel Edelhoff für die inspirierende Zusammenarbeit.
Ausgezeichnet durch die Teilnehmer:innen – Bester Vortrag 2025 auf der ADT-Jahrestagung
Die ADT – wo Zahntechnik auf Innovation trifft: Wissenschaft, Praxis und Austausch vereint – bei einer der führenden Plattformen für dentale Technologie im deutschsprachigen Raum.
Zum Newsletter anmelden:



